halaman depanaplikasiOlahraga dan kesehatan
  • NeuroSlice

    NeuroSlice

    7 1.1 2025-10-23
    Olahraga dan kesehatan
    unduh

Neuroanatomi dengan irisan interaktif dan pemindaian MRI otak manusia & sumsum tulang belakang

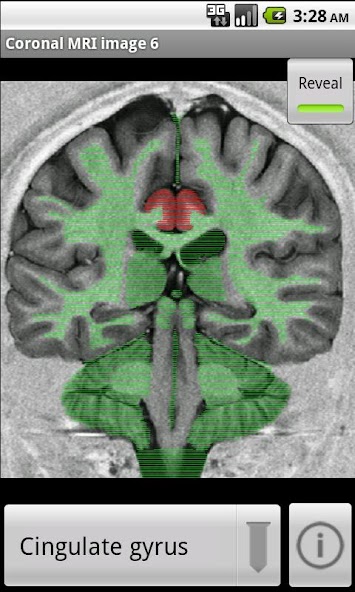
Interactive neuroanatomy app

Learn your neuroanatomy using interactive mapped images. Each slice has neuroanatomical regions mapped out so that you can familiarise yourself with nuclei and tracts of the brain and spinal cord. I hope that NeuroSlice will be useful to training neurologists, neurosurgeons, medical students, and neuroscience students.

This is the very first release; if you have any problems with this app, please email me and I'll try and fix it in the update!

Neuroscan comprises 40 images taken from MRI scans and stained brain sections, which have been digitally labeled with the anatomical regions. They are all downloaded in the 6MB so you can browse offline.

The program allows you to

1) touch a region to highlight it, and its name will be displayed

2) select the name of a region, and the region will be highlighted

3) search the database of regions to show which slices a given locus is visible.

Sebagian besar wilayah juga memiliki deskripsi singkat, menjelaskan pentingnya wilayah tersebut. and can link out to Wikipedia if you have an internet connection.

Finally, there is a testing-mode (beta) in which you can test yourself in one of two ways. Either you have to touch the region whose name is shown, or you have to select the name of the region which is highlighted.

The software is written by Sanjay Manohar ( http://www.smanohar.com ) who also wrote the HOM physiology simulator in collaboration with Roger Carpenter (http://www.homphysiology.org).

Untuk menghubungi penulis, email saya di [email protected].

Ingin tahu lebih banyak?

-----------------------------

This app has been developed to support the fifth edition of Neurophysiology: A conceptual approach, 5E by Roger Carpenter and Benjamin Reddi - an unrivalled 'one stop shop' for students of medicine, physiology and applied physiology, neurophysiology, neuroscience and other bioscience courses looking for a comprehensive, integrated introduction to the challenging disciplines of neuroscience and neurology. Click here to buy: http://www.crcpress.com/product/isbn/9781444135176

Purchasers of Neurophysiology: A conceptual approach, 5E also get free access to a companion website: http://cw.tandf.co.uk/neurophysiology/ -- which provides further interactive resources to support teaching and learning:

• NeuroLab – interactive exhibits;

• NeuroSound – sound clips illustrating the chapter on the auditory system;

• NeuroVid – a comprehensive set of movie clips showing the components of a standard clinical neurological examination; Dan

• NeuroQuestions – sixteen sets of interactive MCQs.

Kredit

The app was developed by Dr Sanjay Manohar of Oxford University. The material for NeuroScan and NeuroSlice was put together by Alice Miller of Edinburgh University Medical School, and the Java programs for desktop were written by Sanjay Manohar and Robin Marlow.

The histological material was taken, with permission, from Riley HA, An Atlas of the Basal Ganglia, Brain Stem and Spinal Cord, 1943, Williams and Wilkins, Baltimore, and the MRI scans are taken from Gillespie JE and Jackson A (eds), MRI and CT of the Brain, 2000, Hodder Arnold, London, by kind permission.

Much of the development of this material was supported by an award to RHSC from the Institute for Learning and Teaching.

Baca selengkapnya

Pratinjau

Pengguna juga melihat

Lihat semuanya

Anda mungkin tertarik

Lihat semuanya

Game serupa lainnya

Lihat semuanya

Lebih banyak permainan Level

Lihat semuanya